マウスピース矯正

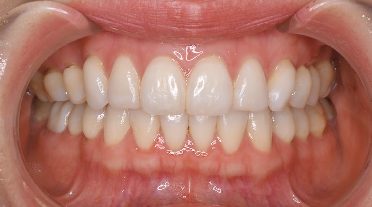
Before

After
女性
- 治療期間
- 6ヶ月
- 費用総額
- 220,000円(税込)
- 症例ケース
- インビザラインによる上顎のみの矯正治療
詳細へ

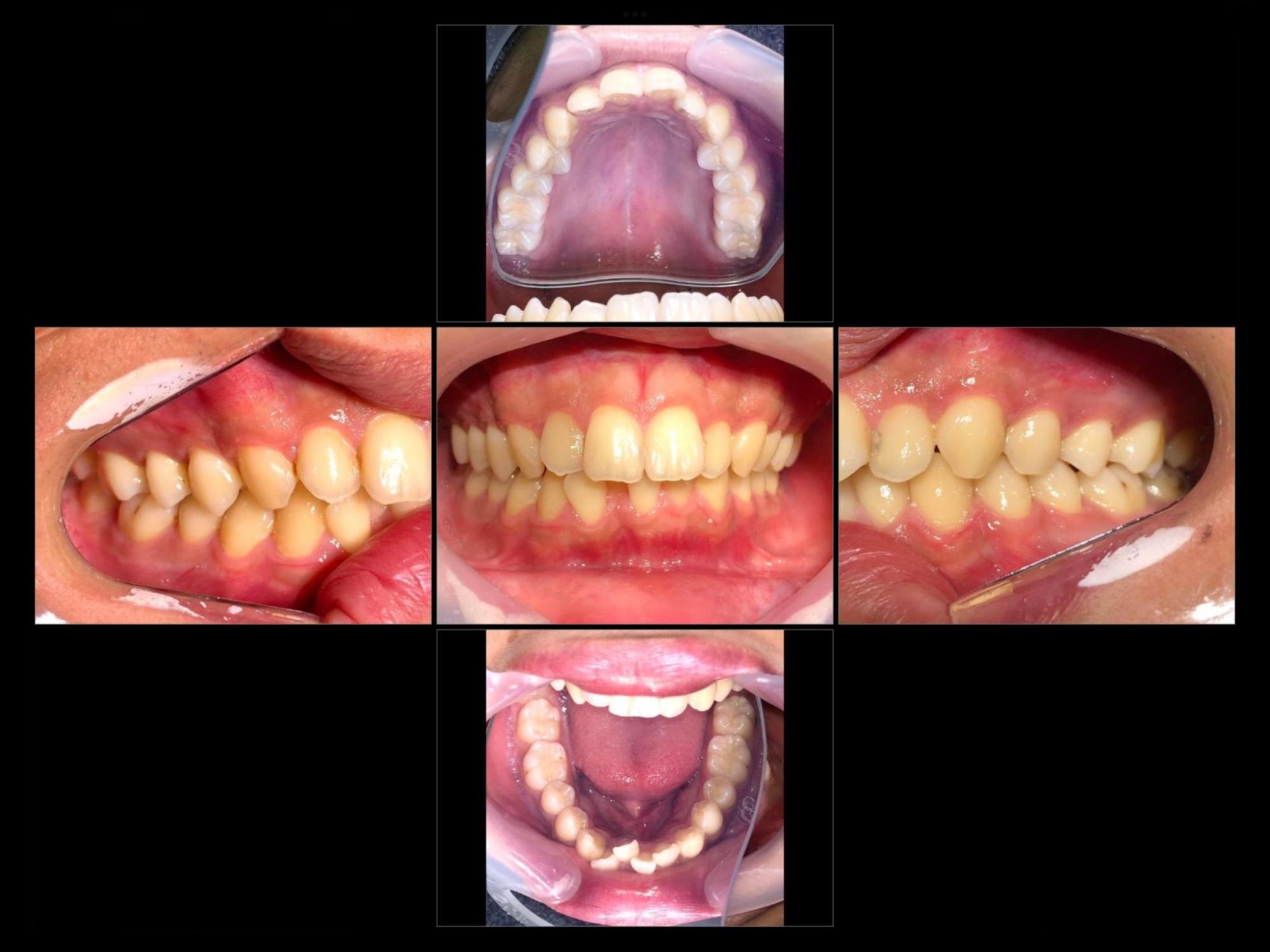
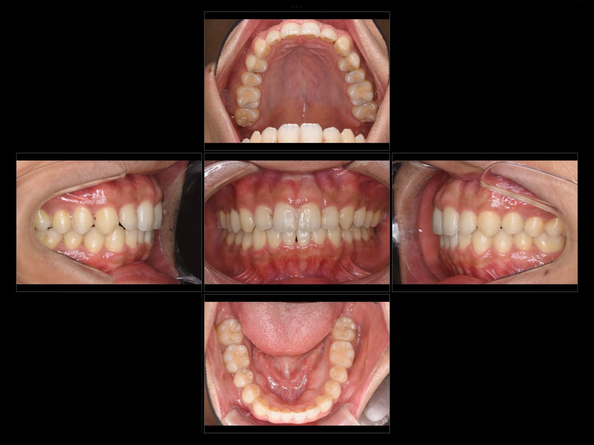
Before

After
男性
- 治療期間
- 6ヶ月
- 費用総額
- 660,000円(税込)
- 症例ケース
- インビザラインによる矯正治療
詳細へ

Before

After
女性
- 治療期間
- 12ヶ月
- 費用総額
- 385,000円(税込)
- 症例ケース
- インビザラインによる矯正治療
詳細へ

Before

After
女性
- 治療期間
- 4ヶ月
- 費用総額
- 550,000円(税込)
- 症例ケース
- マウスピースを用いた歯列矯正
詳細へ

Before

After
女性
- 治療期間
- 27か月
- 費用総額
- 957,000円(税込)
- 症例ケース
- 歯のがたつき
詳細へ

Before

After
男性
- 治療期間
- 36ヶ月21回
- 費用総額
- 880,000円(税込)
- 症例ケース
- 叢生(がたがた、乱杭)
詳細へ