
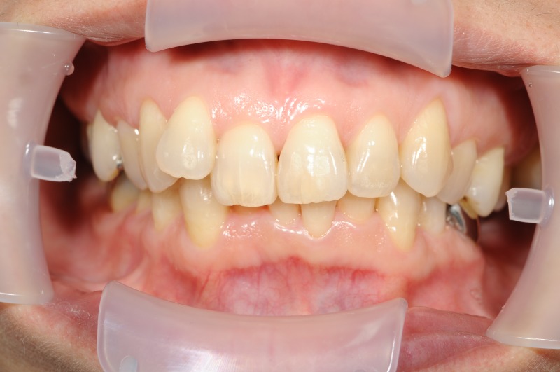
Before

After
女性
- 治療期間
- 6ヶ月
- 費用総額
- 220,000円(税込)
- 症例ケース
- インビザラインによる上顎のみの矯正治療
詳細へ

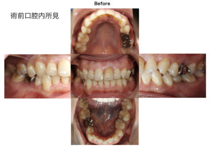
Before

After
男性
- 治療期間
- 6ヶ月
- 費用総額
- 660,000円(税込)
- 症例ケース
- インビザラインによる矯正治療
詳細へ

Before

After
女性
- 治療期間
- 12ヶ月
- 費用総額
- 385,000円(税込)
- 症例ケース
- インビザラインによる矯正治療
詳細へ

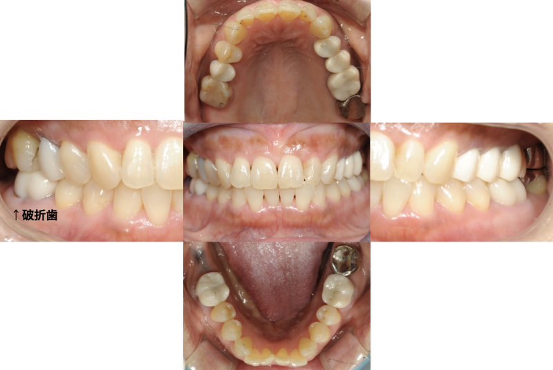
Before

After
女性
- 治療期間
- 22ヶ月 15回
- 費用総額
- 880,000円(税込)
- 症例ケース
- インビザラインによる矯正治療
詳細へ

Before

After
女性
- 治療期間
- 4ヶ月
- 費用総額
- 550,000円(税込)
- 症例ケース
- マウスピースを用いた歯列矯正
詳細へ
50代女性のインプラント治療
Before

After
女性
- 治療期間
- 16ヶ月 14回
- 費用総額
- 957,000円(税込)
- 症例ケース
- 歯科用インプラント セラミック修復物
詳細へ
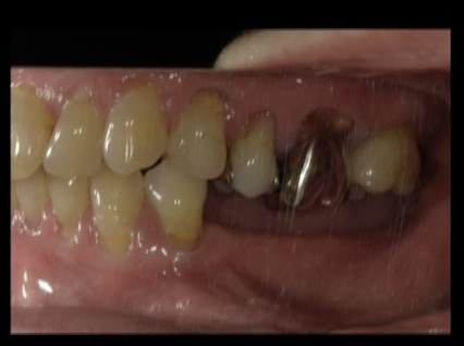
60代女性のインプラント治療
Before

After
女性
- 治療期間
- 3ヶ月 5回
- 費用総額
- 561,000円(税込)
- 症例ケース
- インプラント
詳細へ
50代女性のインプラント治療
Before

After
女性
- 治療期間
- 24ヶ月
- 費用総額
- 2,222,000円円(税込)
- 症例ケース
- 欠損部のインプラント治療と矯正治療、不良補綴の再製
詳細へ
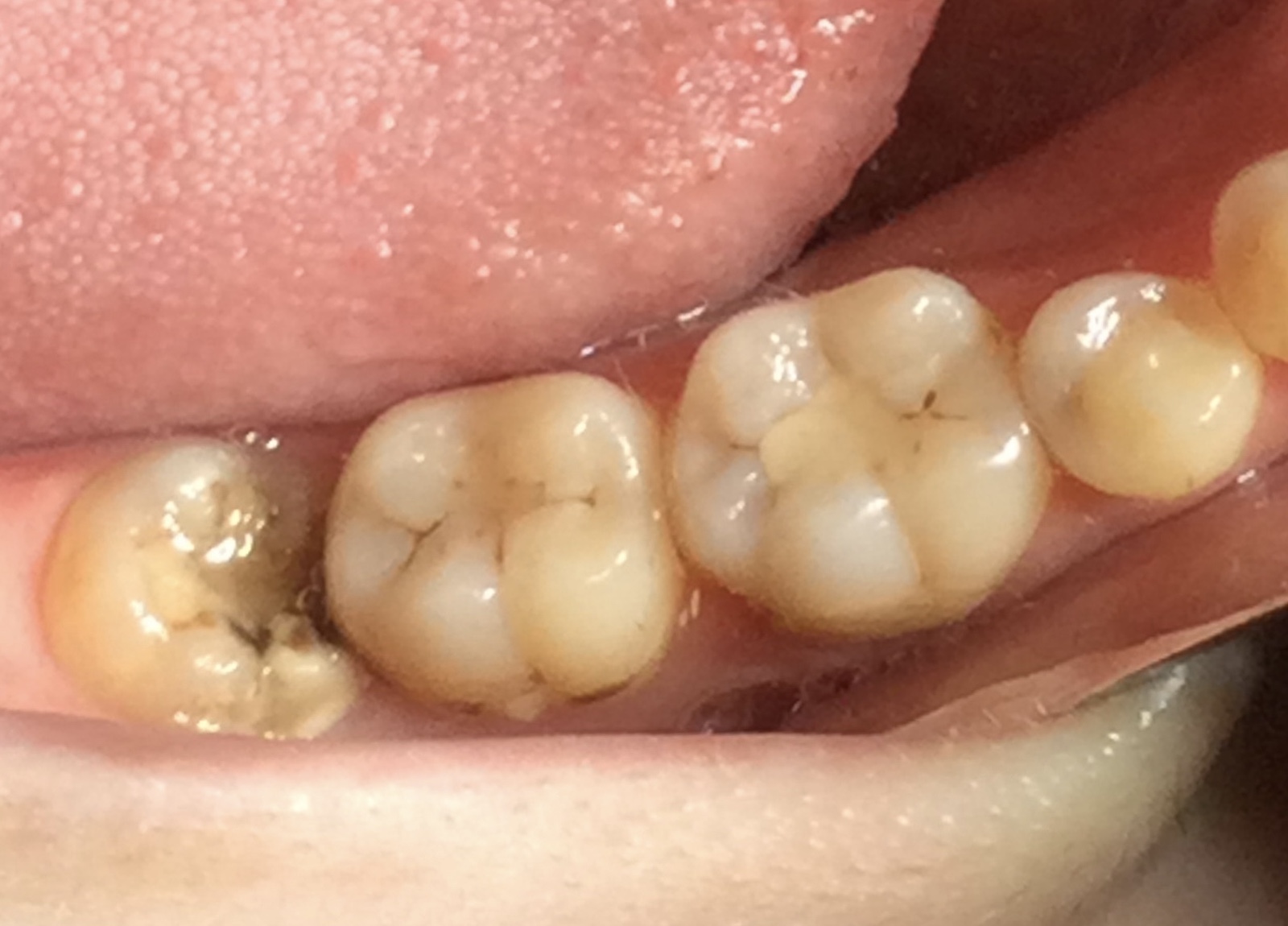
30代男性のCEREC修復
Before

After
男性
- 治療期間
- 3ヶ月 8回
- 費用総額
- 110,000円(税込)
- 症例ケース
- セラミックを用いた虫歯治療
詳細へ
30代女性のインプラント治療
Before

After
女性
- 治療期間
- 3ヶ月 5回
- 費用総額
- 507,000円(税込)
- 症例ケース
- 歯のぐらつき
詳細へ
30代女性の虫歯治療
Before

After
女性
- 治療期間
- 1時間半 1回
- 費用総額
- 110,000円(税込)
- 症例ケース
- セラミックを用いた虫歯治療、ラバーダム防湿、セレックプライムスキャン、ダイレクトボンディング
詳細へ
50代女性のインプラント治療
Before

After
女性
- 治療期間
- 16ヶ月 14回
- 費用総額
- 957,000円(税込)
- 症例ケース
- 歯科用インプラント セラミック修復物
詳細へ
30代女性のCEREC修復
Before

After
女性
- 治療期間
- 1ヶ月3回
- 費用総額
- 132,000円(税込)
- 症例ケース
- セラミックを用いた虫歯治療
詳細へ
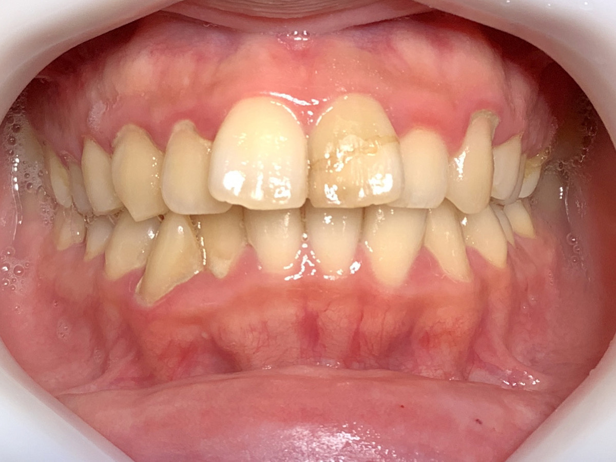
30代女性のE-line修正
Before

After
女性
- 治療期間
- 1回 30分
- 費用総額
- 64,800円(税込)
- 症例ケース
- 顎が下がっている・E-lineの修正
詳細へ